
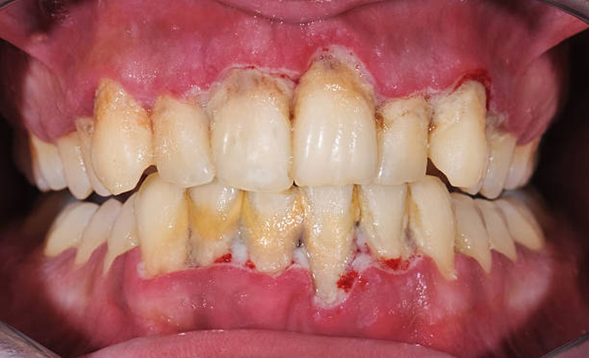
Kapan terakhir kali anda melakukan dental check-up ke dokter gigi? Mungkin sudah saatnya anda melakukan pembersihan karang gigi / scaling…

Kapan terakhir kali anda melakukan dental check-up ke dokter gigi? Mungkin sudah saatnya anda melakukan pembersihan karang gigi / scaling…

Ketika ditanyakan, banyak yang mengatakan ingin memasang behel atau melakukan perawatan ortodonti untuk memperbaiki penampilan melalui susunan gigi yang rapi,…

Bau mulut disebabkan oleh kebiasaan merawat gigi dan mulut yang kurang tepat, ditambah lagi dengan tidak merawatnya secara rutin. Jenis…

Gigi kuning bisa mengganggu penampilan dan membuat kepercayaan diri menurun. Agar tampilan gigi dapat kembali terlihat indah ketika sedang tersenyum,…

Kawat gigi digunakan untuk memperbaiki penampilan gigi yang tidak rata atau posisi rahang yang tidak benar. Jika Anda memutuskan untuk…

Perawatan gigi untuk Si Kecil memang sudah seharusnya dimulai sejak dini, yaitu sejak gigi pertamanya muncul. Hal ini bisa di…

Gigi berlubang menjadi salah satu masalah gigi yang sangat umum. Bukan hanya anak-anak, siapa saja bisa mengalami kondisi ini, termasuk…
Dentsu Dental Specialist berkomitmen memberikan layanan perawatan gigi terbaik untuk menjaga senyum sehat Anda.
Copyright 2024 dentsudental.id. All Rights Reserved Powered by Resolusiweb.com.